

'우리 가족이라면 어떻게 치료할 것인가' 라는 단 하나의 물음.
가족을 치료하는 마음을 담아
정석진료를 추구합니다.


'우리 가족이라면 어떻게 치료할 것인가' 라는 단 하나의 물음.
가족을 치료하는 마음을 담아
정석진료를 추구합니다.
서울정석치과 의료진소개
대표원장 박연종
부원장 김지훈

서울정석치과진료과목


서울정석치과임플란트 센터
서울정석치과는 3D CT분석을 통해
최적의 임플란트 치료를 진행하는 디지털 치과입니다.
환자에게 있어
부족하지 않고, 과하지 않은
최적의 임플란트 치료계획을 세우며
치료 전 과정을 환자분과 공유합니다.




뛰어난 융합성

생체친화성 우수

뛰어난 표면기술

미국 FDA승인



세계 30여개국 수출

청정 생산 시스템

뛰어난 기술력

뛰어난 품질
어떠한 인공치아도 자연치아보다 우수하지 않습니다.
자연치아를 지키는 서울정석치과
서울정석치과는 바이오MTA 신경치료 및 4단계 충치관리시스템을 통하여
자연치아를 살리기 위한 최선의 노력을 다합니다.


3D CT분석을 통한 최적의 수술
사랑니발치
서울정석치과는 대학병원급 진단장비를 활용하여 사랑니 발치의 안전성을 최우선적으로 평가합니다. 최적의 치료과정을 시뮬레이션하여 환자의 신체적, 정신적 부담을 최소화합니다. 또한 발치 후 감염가능성에 대해서도 지속적으로 체크하여 온전한 일상으로의 복귀를 도와드립니다.
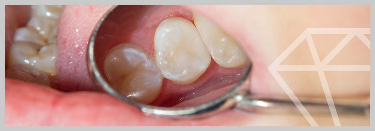
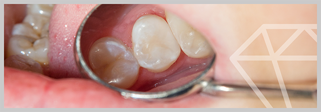
진단시스템을 이용한 단계별 충치관리
충치치료
서울정석치과는 자체진단시스템을 통해 충치를 4단계로 분류 하여 치료 및 관리합니다.
정기검진을 통해 충치의 상태를 상세히 설명하며 환자와 공유합니다.
턱관절의 불편함을 해결하는
턱관절치료
서울정석치과는 저출력레이저 및 근적외선 치료를 통해
턱관절 통증 완화 및 치과 수술 후 환자의 불편감을 효과적으로 감소시킬 수 있는
물리치료 프로그램을 운영하고 있습니다.
별도의 물리치료실로 가지 않고 체어에 앉아 편안한 치료를 받으실 수 있습니다.
서울정석치과의 특별함

서울정석치과는3D CT를 이용한 컴퓨터 분석을 통해
최적의 임플란트 치료를 진행하는 디지털 치과입니다.

서울정석치과는생체친화재료인 MTA를 사용하여
환자의 자연치아를 살리기 위해 노력하는 치과입니다.

서울정석치과는 합리적인 치료보증제도를 운영하여
환자와의 신뢰를 지켜나갑니다.

치과 치료의 정석은 정확한 진단부터 시작됩니다.
서울정석치과는 검증된 디지털 장비를 사용합니다.
서울정석치과 둘러보기
서울정석치과 진료시간 안내
서울정석치과 오시는길
진단부터 계획, 진료, 유지·관리까지 세심하게
환자분들의 평가가서울정석치과 의료진은
가족을 치료하는 마음으로 임하겠습니다.